こんにちは!てだこ浦西歯科クリニックです🌸
現代では歯の見た目も大切にする時代になってきています!🦷✨
歯は、笑顔や第一印象に大きく影響します☝️‼️
そのため、【白くて自然な歯】【口元の清潔感】を重視する方が増え
被せ物や詰め物を目立たない素材を選ぶか方が多くなりました!☺️
被せ物の治療では、「しっかり噛めること」はもちろん、
見た目の自然さや、長く安心して使えることも大切です。
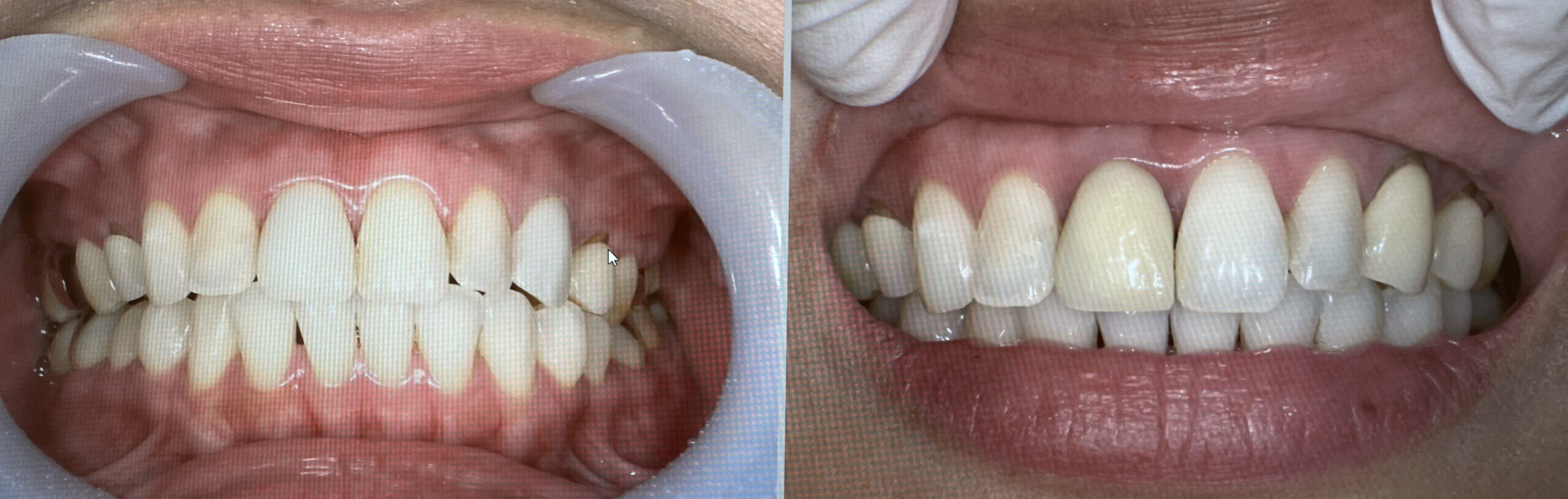
その点で、私たちが多くの患者さまにおすすめしているのが ✨セラミック✨の被せ物 です❣️

セラミックは、天然の歯に近い透明感と白さがあり、
口元になじみやすく、治療したことが目立ちにくいのが特徴です。

⬅️After Before➡️
また、金属を使わないため、歯ぐきが黒ずんだり、
金属アレルギーの心配が少ないというメリットもあります🥹
さらに!!!セラミックは表面がなめらかで汚れがつきにくく、
むし歯の再発リスクを抑えやすい素材です。
毎日の歯みがきがしやすく、清潔な状態を保ちやすいのも大きな魅力です。
自由診療にはなりますが、
「きれいな状態を長く保ちたい」「将来の歯の健康も考えたい」
そんな方に、セラミックは安心して選んでいただける被せ物です🦷🌈
被せ物の種類は、歯の状態や噛み合わせによって適したものが異なります。
当院では、患者さまのご希望を丁寧にお伺いし、無理のない治療方法をご提案しています。
気になる方は、ぜひお気軽にご相談ください😊❤️